333ÌåÓý¹ÙÍø

OAÈë¿Ú
±¨¸æµ¥ÅÌÎÊ
ÔÚÏ߿ͷþ
333ÌåÓý - ÓÐ̬¶ÈµÄÌåÓýÃÅ»§
ÐÂÎÅÖÐÐÄ
News Center
·Ö×Ó¼ì²âÖúÁ¦¼××´ÏÙÊÈËáϸ°û°©µÄÔçÆÚÕï¶Ï£ºTERTÍ»±ä°¸ÀýÆÊÎö
Ðû²¼£º2024/12/11


¿ËÈÕ  £¬333ÌåÓý¹ÙÍøÓëÌì½òÒ½¿Æ´óѧ×ÜÒ½ÔººÏ×÷  £¬Í¨Ì«¹ý×Ó¼ì²âÊÖÒÕ¾«×¼Õï¶Ï³öÒ»ÀýЯ´øTERTÆô¶¯×ÓÍ»±äµÄÓÐÊý¼××´ÏÙÖ×Áö²¡Àý¡£¾­²¡Àí¼ì²éÈ·ÈÏ  £¬»¼Õßî¾»¼¶ñÐÔÖ×Áö¡ª¡ª¼××´ÏÙÊÈËáϸ°û°©£¨Oncocytic Cell Carcinoma, OCA£©¡£¶øTERTÆô¶¯×ÓÍ»±äµÄʶ±ð  £¬ÎªÁÙ´²Ò½ÉúÖÆ¶©¸öÌ廯ÖÎÁƼƻ®ÌṩÁËÖ÷ÒªÒÀ¾Ý¡£


¸ÃÏîÑо¿Ð§¹ûÒÑÔÚ¡¶Frontiers in Oncology¡·ÆÚ¿¯£¨IF: 5.006£©½ÒÏþ  £¬½øÒ»²½¸»ºñÁËҽѧ½ç¶Ô¼××´ÏÙ¼²²¡µÄÊìϤ  £¬Õ¹ÏÖÁË·Ö×Ó¼ì²âÊÖÒÕÔÚ¼××´ÏÙ¼²²¡¾«×¼ÕïÁÆÖеÄÓ¦ÓüÛÖµ¡£

ͼƬ 1.png

ÂÛÎÄÐû²¼½ØÍ¼



Ñо¿Åä¾°


¼××´ÏÙ°©ÊÇÒ»ÖÖÆðÔ´ÓÚ¼××´ÏÙÂËÅÝÉÏÆ¤»òÂËÅÝÅÔÉÏÆ¤Ï¸°ûµÄ¶ñÐÔÖ×Áö  £¬Ò²ÊÇÍ·¾±²¿×îΪ³£¼ûµÄ¶ñÐÔÖ×ÁöÖ®Ò»¡£½üÄêÀ´  £¬È«Çò¹æÄ£ÄÚ¼××´ÏÙ°©µÄ·¢²¡ÂÊÔöÌíѸËÙ¡£¾ÝÌìÏÂÖ×Áö¹ÒºÅÖÐÐĵÄÊý¾ÝÏÔʾ  £¬ÎÒ¹ú¼××´ÏÙ°©½«ÒÔÿÄê20%µÄËÙÂÊÒ»Á¬ÔöÌí  £¬¶¼»áµØÇøÅ®ÐÔ¼××´ÏÙ°©·¢²¡ÂÊλ¾ÓÅ®ÐÔËùÓжñÐÔÖ×ÁöµÄµÚ4λ¡£


OCA×÷ΪһÖÖÓÐÊýÇÒ¾ßÓÐÇÖÏ®ÐԵļ××´ÏÙ°©  £¬Í¨³£ÌåÏÖ³ö½Ï¸ßµÄ×ªÒÆÇ±ÄÜ  £¬µ¼Ö½ϲîµÄÔ¤ºó¡£OCAµÄÕï¶Ï¾ßÓÐÏÔÖøµÄÌôÕ½ÐÔ  £¬ÓÈÆäÊÇÆäÁÙ´²ÌåÏÖÓëÁ¼ÐÔÊÈËáϸ°ûÏÙÁö¸ß¶ÈÏàËÆ  £¬¹Å°åµÄ¼××´ÏÙ³¬ÉùºÍϸÕë´©´Ì»î¼ì£¨FNAB£©ÍùÍùÄÑÒÔ×¼È·Çø·Ö¡£


Ñо¿ÏÔʾTERTÆô¶¯×ÓÍ»±äÊÇTERT¼¤»îµÄÖ÷ÒªÐÎʽ  £¬ÔÚ¼××´ÏÙ°©¡¢ÄÔ½ºÖÊÁö¡¢¸Î°©µÈ¶àÖÖ¶ñÐÔÖ×ÁöÖÐ¸ßÆµ±¬·¢  £¬ÇÒÓë²»Á¼Ô¤ºóÏà¹Ø¡£ÓÈÆäÔÚ¼××´ÏÙ°©ÖÐ  £¬Ëæ×ż××´ÏÙ°©·Ö½âˮƽµÄ½µµÍ  £¬TERTÆô¶¯×ÓÍ»±äƵÂÊÏÔ×ÅÔö¸ß  £¬ÌáÐÑTERTÔÚÖ×ÁöÈ¥·Ö½â¼°¶ñ»¯Àú³ÌÖÐʩչÖ÷Òª×÷Óá£È»¶ø  £¬ÓÉÓÚÆäÍ»±äλµãµÄÌØÊâÐÔ  £¬¹Å°å¼ì²âÒªÁìÍùÍùÄÑÒÔÔÚÔçÆÚ׼ȷ²¶»ñµ½Õâһͻ±ä  £¬¸øÁÙ´²Õï¶Ï´øÀ´Á˲»Ð¡µÄÄѶÈ¡£


½üÄêÀ´  £¬Ëæ×Å·Ö×Ó¼ì²âÊÖÒÕµÄǰ½ø  £¬Ê¶±ðTERTÆô¶¯×ÓÍ»±ä  £¬²»µ«ÎªOCAµÄ¾«×¼Õï¶ÏÌṩÁËÐÂÊÓ½Ç  £¬Ò²Îª¸öÌ廯ÖÎÁƼƻ®µÄÖÆ¶©ÌṩÁËÖ÷ÒªµÄ·Ö×ÓÒÀ¾Ý¡£



Ñо¿ÄÚÈÝ


»¼Õß»ù±¾ÇéÐÎÓëÁÙ´²ÌåÏÖ


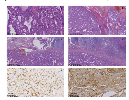
±¾Àý»¼ÕßΪ84ËêÅ®ÐÔ  £¬ÒòÑÏÖØºôÎüÄÑÌ⣨ÖÏÏ¢£©ÖÁ¼±Õï¿Æ¾ÍÕï¡£ÈëԺǰ7Ìì·ºÆð¿ÈËÔ¡¢¿È̵  £¬°éÒûË®ºóºôÎüÄÑÌ⡢Ǻ¿È¸Ð¡£Ëæ×ÅÖ¢×´¶ñ»¯  £¬»¼Õß·ºÆðºôÎüÞ׾ݺÍÒâʶ¸Ä±ä  £¬ÔÚÍâµØÒ½Ôº½ÓÊÜÁ˳õʼÖÎÁÆ  £¬µ«²¡Çéδ¼û»º½â  £¬±»×ªµ½Ìì½òÒ½¿Æ´óѧ×ÜÒ½ÔºICU¡£CTɨÃèЧ¹ûÏÔʾ  £¬¼××´ÏÙ×óÒ¶ÓÐÒ»¸öʵÐÔ²¡±ä  £¬µ¼ÖÂÆø¹ÜեȡºÍÆ«Àë¡£²¡ÀíÆÊÎöÏÔʾ  £¬Ö×Áöϸ°û¾ßÓÐÊÈËáϸ°ûÌØÕ÷  £¬²¢ÇÒ·ºÆð³ö¾Ö²¿»µËÀºÍѪ¹ÜÖ×ÁöѪ˨Ðγɣ¨ÈçÏÂͼËùʾ£©¡£

ͼƬ 3.png
ͼƬ 2.png


·Ö×Ó¼ì²âÖúÁ¦È·ÕïOCA


ͨ¹ý333ÌåÓý¹ÙÍøµÄ·Ö×Ó¼ì²âƽ̨  £¬ÏÔʾTERTÆô¶¯×ÓC228TÍ»±ä  £¬BRAF¡¢HRAS¡¢KRAS¡¢NRAS¡¢TP53¡¢RET¡¢NTRK1¡¢NTRK3¡¢PAX8ºÍTHADAЧ¹û¾ùΪÒõÐÔ¡£»¼Õß±»È·ÕïΪTERTÆô¶¯×ÓÍ»±äOCA  £¬¸ÃÍ»±äÔÚ¼××´ÏÙ¶ñÐÔÖ×ÁöÖоßÓнϸߵÄÇÖÏ®ÐÔ¡£¸Ã¼ì²âЧ¹ûÕ¹ÏÖÁË·Ö×ÓÕï¶ÏÔÚÓÐÊý¶ñÐÔÖ×ÁöÕï¶ÏÖеÄÒªº¦×÷Óà  £¬×ÊÖúÁÙ´²Ò½ÉúÖÆ¶©¸üΪ¾«×¼µÄÖÎÁƼƻ®¡£


ÖÎÁƼƻ®ÓëÔ¤ºó


ƾ֤¼ì²âЧ¹û  £¬»¼ÕßЯ´øTERTÆô¶¯×ÓC228TÍ»±ä¡£Õâһͻ±äÌáÐÑÖ×Áö¾ßÓнϸߵÄÇÖÏ®ÐÔ¡£Ë¼Á¿µ½ÕâÒ»ÐÅÏ¢  £¬ÁÙ´²¾öÒé½ÓÄɸöÌ廯ÖÎÁƼƻ®  £¬ÒÔ¿ØÖÆÖ×ÁöµÄÏ£Íû²¢½µµÍÊÖÊõΣº¦¡£ÓÉÓÚ»¼Õ߸ßÁäºÍºÏ²¢Ö¢  £¬ÖÎÁÆÕ½ÂÔÓÅÏÈ˼Á¿»º½âÆøµÀեȡ²¢ïÔÌ­Êõºó²¢·¢Ö¢¡£×îÖÕ  £¬»¼Õß½ÓÊÜÁË×ó²à¼××´ÏÙÇгýºÍÏ¿²¿ÇгýÊõ  £¬×èÖ¹ÁËÈ«¼××´ÏÙÇгýµÄΣº¦¡£Êõºó  £¬»¼ÕߵĺôÎüÞ׾ݻñµÃÁË»º½â  £¬ºóÐø½«¾ÙÐа´ÆÚËæ·Ã  £¬²¢×ÃÇé¾ÙÐиÉÔ¤¡£


Ñо¿Ð¡½á


ÍíÄê¼××´ÏÙ°©»¼ÕßÒòºÏ²¢Ö¢¶øÃæÁÙ¸ü¸ßµÄÊÖÊõΣº¦  £¬¶øÖ×ÁöÏ£Íûµ¼ÖµÄÁÙ´²²¢·¢Ö¢£¨ÈçÆøµÀÛÕ±Õ»òÉñ¾­ËðÉË£©¿Éʹϳ¡½øÒ»²½ÖØ´ó»¯  £¬Òò´ËÐèÒª½ÓÄÉÏÖÐÐÖ¸ÄϽ¨ÒéµÄ¸üÊØ¾ÉµÄÖÎÁÆÒªÁ졣Ȼ¶ø  £¬¶ÔÍíÄ껼ÕßµÄÔ¤ºóÆÀ¹ÀÈÔÈ»ÊÇÒ»¸öÌôÕ½  £¬ÓÈÆäÊǵ±¼××´ÏÙÒ¶ÇгýÊõµÈÊÖÊõÑ¡ÔñÊܵ½»¼Õß²¡ÇéÏÞÖÆÊ±¡£


±¾ÀýÑо¿ÊÇÊ׸ö±»±¨µÀµÄÒÔÖÏÏ¢ºÍTERTÆô¶¯×ÓÍ»±äΪÌåÏÖµÄOCA²¡Àý¡£Ö»¹Üͨ¹ý³¬Éù¼ì²é·¢Ã÷ÁËÒ»¸öÏÔÖøµÄ¼××´ÏÙ½á½Ú  £¬µ«ÓÉÓÚ»¼ÕßÄêËê½Ï´ó  £¬Í¨¹ýFNAB¾ÙÐнøÒ»²½Õï¶ÏµÄÊÂÇé±»ÍÆ³Ù¡£ÎªÁËÇø·ÖÖ×ÁöµÄÁ¼ÐÔÓë¶ñÐÔ  £¬ÓÈÆäÕë¶ÔTERTÆô¶¯×ÓÍ»±äµÄOCA  £¬·Ö×Ó¼ì²âÔÚÍêÉÆÖÎÁƾöæÅºÍ×èÖ¹¼²²¡Ï£Íû·½ÃæÊ©Õ¹×ÅÒªº¦×÷Óá£


333ÌåÓý¹ÙÍø

¼××´ÏÙÖ×ÁöÕï¶ÏÕûÌ廯½â¾ö¼Æ»®


333ÌåÓý¹ÙÍøÒÔÁÙ´²¿Í»§ÐèÇóΪµ¼Ïò  £¬ÒÀ¾Ýº£ÄÚÍâÕïÁÆÖ¸Äϼ°×îеÄÑо¿Ï£Íû  £¬ÒÀÍÐÓ«¹â¶¨Á¿PCRƽ̨¡¢Êý×ÖPCRƽ̨¡¢¸ßͨÁ¿²âÐò£¨NGS£©Æ½Ì¨ÒÔ¼°¶à×éѧƽ̨  £¬´òÔìÁ˼××´ÏÙÖ×ÁöÕï¶ÏÕûÌ廯½â¾ö¼Æ»®  £¬ÊÊÓÃÓÚ¼××´ÏÙÖ×ÁöµÄÒÅ´«Î£º¦ÆÀ¹À¡¢Á¼¶ñÐÔ¸¨ÖúÕï¶Ï¡¢ÊõʽѡÔñ¡¢°ÐÏòÓÃÒ©Ö¸µ¼¡¢Ô¤ºóÆÀ¹À¼°¿ÆÑ§Ñо¿µÈ  £¬Íƶ¯Ö×Áö¾«×¼Ò½ÁƵĸßÖÊÁ¿Â䵨ºÍÎȲ½Éú³¤  £¬·þÎñÁÙ´²  £¬ÆÕ»ÝÀèÃñ¡£

ͼƬ 4.png
ͼƬ 5.png



ÍøÕ¾µØÍ¼